OCEAN 32S CT
● 3.5MHU X-ray Tube: Continuous photography number will be greater and the service life of the tube will be longer.
OCEAN 32S CT (32-slice)
The quality of CT images is significantly improved by effectively reducing artifacts caused by metal implants and greatly upgrading the image clarity of the tissue structure surrounding the metal implants.

| OCEAN 32S CT | |
| Aperture Bore | 70 cm |
| Rotation Speed | 0.75 r/s |
| Z-coverage | 19.2 mm |
| Heat Capablity | 3.5 MHU |
| Cooling rate | 735 kHU/min |
| Powering Rate | 42kW |
![]() |
![]() |
![]() |
| 3.5MHU: | 42KW: | 24Slices: |
| Superior thermal dissipation enables cost-effective,high-performance operation. | Supports 100-second continuous helical scanning with stable energy output, ensuring consistent image quality | Engineered with crystal-grade modules and precision manufacturing for 360 ° artifact-free imaging. |

![]() |
![]() |
![]() |
| 700mm: | 0.75s: | 1600mm: |
| Wide-Bore Design, provide support for all scanning situations. | High-speed scanning enabled by a high-rigidity gantry and dynamic-balanced rotors effectively mitigates respiratory and motion artifacts in medical imaging. | Extended-Travel Scanning Bed, Full-Body Coverage in a Single Pass. |
Abdomen

Shoulder Joint

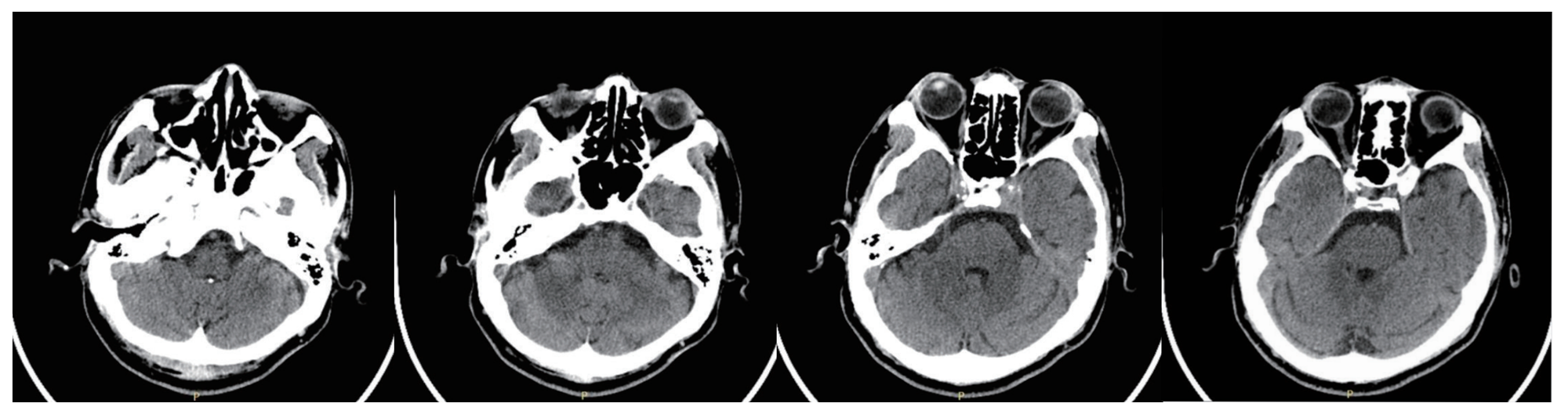
Skull

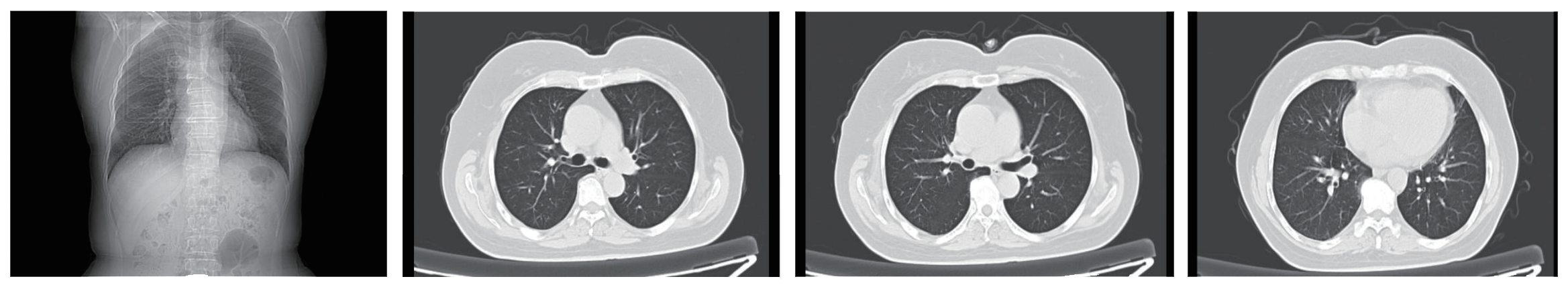
Chest












Reviews
There are no reviews yet.